Rehabilitación
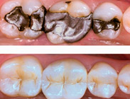
Es la especialidad dentro de la Odontología, responsable de devolver la forma y función a las piezas dentales y la reposición de las mismas en caso de ausencia. Esta disciplina maneja una serie de técnicas y materiales específicos para tales fines. Se trata de una rama muy amplia que abarca desde una simple alteración estética hasta complejas disfunciones masticatorias.






